ศัลยกรรมยกกระชับใต้ตา
ยกกระชับใต้ตาที่หย่อนคล้อย ให้กลับมากระชับ
แต่ยังคงความเป็นธรรมชาติ และดูเด็กลง

รายละเอียดการผ่าตัดยกกระชับใต้ตา Surgery Information
INFORMATION SURGERY
Surgery Information
เวลาที่ใช้ผ่าตัด
ประมาณ 1 ชั่วโมง
ยาชา
ยาชา หรือ ยานอนหลับ
ทำแผลหลังผ่าตัด
2-3 ครั้ง
การพักฟื้น
5-7 วัน
RECOMMEND SURGERY
Recommended Candidates
1. ท่านที่มีไขมันใต้ตาเยอะเป็นคลื่น ทำให้ดูเหนื่อยล้า
2. มีอาการใต้ตาหย่อนคล้อย ทำให้ดูมีอายุ
3. มีริ้วรอยใต้ตา
4. มีรอยคล้ำใต้ตา
ศัลยกรรมยกกระชับใต้ตา
ช่วยทำให้ใต้ตาเรียบเนียน แต่ยังคงมีวอลลุ่มที่ทำให้ดูเด็กลงอย่างธรรมชาติ ที่ABเราวิเคราะห์อย่างละเอียด ไม่ว่าจะเป็นระดับความหย่อนคล้อย ความยืดหยุ่นของผิวหนัง ความหนาบางของผิวหนัง และปริมาณไขมันใต้ตา, โดยการนำผิวหนังส่วนเกินออก แล้วทำการมัดกล้ามเนื้อและยกกระชับให้เรียบเนียน และดวงตาดูเยาว์วัย

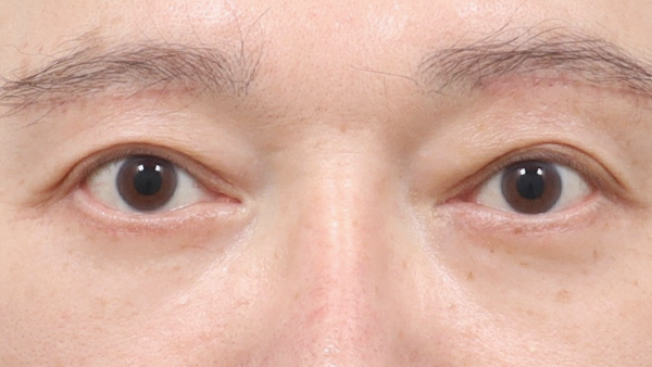
ก่อนผ่าตัด

หลัง 1 สัปดาห์

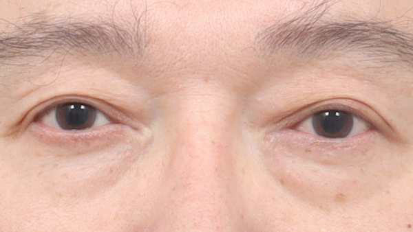
ก่อนผ่าตัด

หลัง 2 สัปดาห์
วิธีการผ่าตัด

01. กรีดขนาดเล็ก
การกรีดขนาดเล็ก เพื่อป้องกันจุดที่มีเส้นประสาท

02. นำไขมันส่วนเกินออก หรือ เกลี่ยไขมัน

03. มัดกล้ามเนื้อใต้ตา
มัดกล้ามเนื้อใต้ตาที่มีความหย่อนคล้อยในแนวตั้ง ช่วยยกกระชับช่วงใต้ตาและดูอ่อนวัยลง

04. กรีดผิวหนังส่วนเกินแล้วเย็บ
ทำการกรีดผิวหนังส่วนเกินและเย็บ ป้องกันเปลือกตาม้วนออก
สิ่งที่ควรระวังเรื่องการศัลยกรรมยกกระชับใต้ตา
ถ้าหากมีการมัดกล้ามเนื้อใต้ตาแน่นเกินไป อาจทำให้เกิดอาการเปลือกตาม้วนออกได้ หรืออาจทำให้ได้ผลลัพธ์ที่ไม่เป็นธรรมชาติ ที่ AB วิเคราะห์อย่างละเอียดเพื่อไม่ให้มีการนำไขมันออกเยอะเกินไป หรือการกรีดผิวหนังที่มากเกินไป และได้ดวงตาที่ดูอ่อนเยาว์ลง ลดอาการบวม, ช้ำ และการพักฟื้นที่สั้นลง
1. การกรีดผิวหนังที่เหมาะสม, และการจำกัดไขมันส่วนเกิน
ที่ABเราวิเคราะห์อย่างละเอียด ไม่ว่าจะเป็นระดับความหย่อนคล้อย ความยืดหยุ่นของผิวหนัง ความหนาบางของผิวหนังและปริมาณไขมันใต้ตา, โดยการนำผิวหนังส่วนเกินออก แล้วทำการมัดกล้ามเนื้อและยกกระชับให้เรียบเนียน และดวงตาดูเยาว์วัย

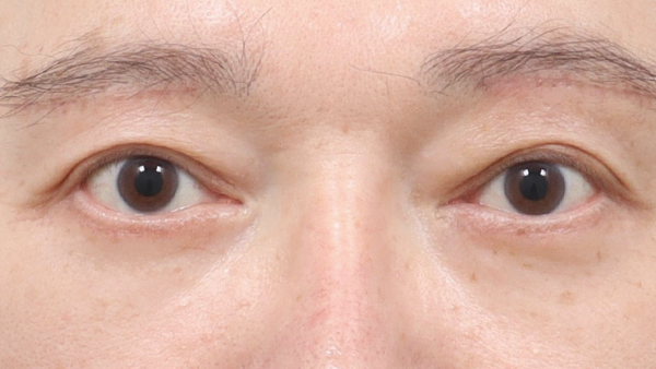
ก่อนผ่าตัด

หลัง 1 สัปดาห์

ก่อนผ่าตัด

หลัง 1 สัปดาห์
2. แผลเป็นขนาดเล็ก บวมและช้ำน้อย
กรีดใต้ตาตามแนวขนตาในขนาดเล็ก ให้เหมาะสมกับแต่ละท่าน และทำการตัดผิวหนังและกำจัดไขมันส่วนเกิน หลังผ่าตัดทำให้มีแผลเป็นขนาดเล็ก บวมและช้ำน้อย แทบมองไม่เห็น พักฟื้นไว

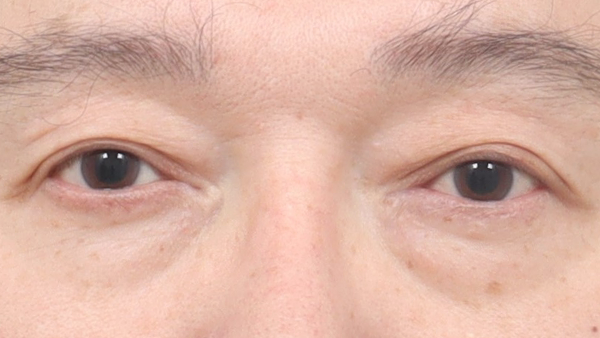
ก่อนผ่าตัด

หลัง 1 สัปดาห์

ก่อนผ่าตัด

หลัง 1 สัปดาห์
แต่ถ้าหากท่านมีอาการเหล่านี้ เราแนะนำเป็นการทำยกกระชับใต้ตาแบบมินิ
มีความหย่อนคล้อยใต้ตา ที่ไม่มาก
ใต้ตาดูหย่อนคล้อย เพราะไขมันใต้ตาเยอะ
ไขมันใต้ตาเยอะ
ไม่อยากกรีดใต้ตา
การยกกระชับใต้ตาแบบมินิ ต่างจากการยกกระชับใต้ตาแบบปกติ ตรงที่การยกกระชับแบบมินินั้นไม่ต้องกรีดผิวหนังที่ใต้ตา แต่เป็นการกรีดที่ชั้นในเปลือกตาและทำการกำจัดไขมันส่วนเกินออก ช่วยให้ดูเด็กลงได้ตามสภาพผิวและกล้ามเนื้อ
วิธีการผ่าตัดยกกระชับใต้ตาแบบมินิ

01. ก่อนผ่าตัด

02. กรีดที่ชั้นในเปลือกตา เพื่อให้เห็นแผลเป็นน้อยที่สุด

03. เกลี่ยไขมันใต้ตา ให้เรียบเนียนมากขึ้น

04. ดึงกระชับหนังตาที่หย่อนคล้อย ให้กลับมากระชับ

05. หลังผ่าตัด

ก่อน

หลัง 1 เดือน

ก่อน

1หลัง 1 สัปดาห์
จุดเด่น AB
ศัลยกรรมยกกระชับใต้ตา
1. สีหน้าที่ดูดุ No สีหน้าที่เป็นธรรมชาติ OK
ที่ AB จะทำศัลยกรรมยกกระชับใต้ตาตามความเหมาะสมกับแต่ละท่าน จะไม่ทำมากเกินไป เพราะจะไม่ได้ผลลัพธ์ที่ดูเด็กและเป็นธรรมชาติ

ก่อนศัลยกรรม

หลัง 1 เดือน
2. เย็บเก็บรายละเอียด ไม่เห็นแผลเป็นแม้หน้าสด
เย็บเก็บรายละเอีบดตามรอยกรีดไม่ให้เหลือช่องว่าง เพื่อลดราอยแผลเป็นให้มีน้อยที่สุด

ก่อนศัลยกรรม

หลัง 1 สัปดาห์
3. ลดการกลับมาหย่อนคล้อยด้วยเทคนิคของ AB
กรีดและจำกัดผิวหนังและไขมันส่วนเกินที่หย่อนคล้อย มัดกล้ามเนื้อใต้ตาเป็นแนวตั้ง เพื่อให้อยู่นานขึ้น แก้ไขปัญหาหลักที่ทำให้ใต้ตาหย่อนคล้อย และป้องกันการกลับมาหย่อนคล้อยอีกครั้ง
ก่อนผ่าตัด

หลัง 1 สัปดาห์

หลัง 1 เดือน

4. แก้ปัญหาตาที่ดูง่วงและดูมีอายุ
ผิวหนังดูหย่อนคล้อยเนื่องจากอายุที่มากขึ้น และทำให้ต่อมน้ำตาดูลึก เกิดรอยคล้ำใต้ตาและริ้วรอย หลังศัลยกรรมยกกระชับใต้ตาจะช่วยแก้ไขปัญหาดังกล่าว และทำให้ดูเด็กลงได้

ก่อนผ่าตัด

หลัง 1 เดือน

ก่อนผ่าตัด

หลัง 1 เดือน
5. วิเคราะห์ปัญหารายคน เพื่อหาทางแก้ไขใต้ตา ในวัยกลางคน
วิเคราะห์แบบ 1:1 และวางแผนผ่าตัดที่เหมาะสม เพื่อความพึงพอใจสูงสุด
ระดับความหย่อนคล้อย
ระดับความยืดหยุ่น ของกล้ามเนื้อใต้ตา
ระดับความหนาบาง ของผิวหนัง
ระดับความมากน้อย ของไขมันใต้ตา
รูปทรงของดวงตา
BEFORE&AFTER ก่อนและหลังยกกระชับหน้าผากแบบส่องกล้อง
ยกกระชับหน้าผาก
ระบบความปลอดภัย
ด้วยการจัดตั้งระบบจัดการความปลอดภัยต่างๆ คนไข้จึงสามารถเข้ารับการผ่าตัดได้อย่างปลอดภัยยิ่งขึ้น

วิสัญญีแพทย์ประจำเต็มเวลา
ผู้เชี่ยวชาญวิสัญญีแพทย์ติดตามผู้ป่วยแบบเรียลไทม์ระหว่างผ่าตัด และตรวจสองสามครั้งผ่านระบบมอนิเตอร์กลาง

ระบบมอร์นิเตอร์ชีพจรตลอดการวางยา
กระบวนการทั้งหมดของการผ่าตัด รวมถึงก่อน ระหว่าง และหลัง ได้รับการดูแลแบบเรียลไทม์โดยวิสัญญีแพทย์ประจำ

ตรวจสุขภาพเชิงลึกก่อนวันผ่าตัด
เพื่อการผ่าตัดที่ปลอดภัยยิ่งขึ้น เรามีระบบตรวจสุขภาพภายในโรงพยาบาล และตรวจก่อนผ่าตัดอย่างครอบคลุม

เครื่องมืออุปกรณ์ความปลอดภัยมาตรฐานสูงสุด
ด้วยการจัดทำระบบความปลอดภัยต่างๆ เรารับรองว่าคนไข้สามารถรับการผ่าตัดได้อย่างปลอดภัยและสบายใจ





















