ศัลยกรรมตาเพื่อวัยกลางคนที่ดูดีอย่างเป็นธรรมชาติ

INFORMATION SURGERY
เวลาในการผ่าตัด
ประมาณ 1 ชั่วโมง
วิธีการวางยา
ยานอนหลับ หรือ ยาสลบ
การรักษาหลังการผ่าตัด
2-3 ครั้ง
ระยะเวลาการฟื้นตัว
5-7 วัน
RECOMMEND SURGERY
1. ผู้ที่ชั้นตาหย่อนคล้อยเนื่องจากอายุที่เพิ่มขึ้น
2. ผู้ที่ชั้นตาหย่อนคล้อยจนบดบังการมองเห็น
3. ผู้ที่ชั้นตาหย่อนคล้อยจนเกิดการระคายเคือง
4. ผู้ที่ชั้นตาไม่มีแรงลืมตาและมีรอยย่นลึกบนหน้าผาก
ศัลยกรรมหนังตาบน
หัวใจสำคัญของดวงตาที่ดูอ่อนเยาว์คือการทำให้ดวงตาดูเป็นธรรมชาติ ที่โรงพยาบาลศัลยกรรม AB เราทำการผ่าตัดหนังตาบนโดยใช้วิธีการตัดเนื้อเยื่อในปริมาณเหมาะสมเพื่อลดรอยแผลเป็นให้เหลือน้อยที่สุด พร้อมมัดกล้ามเนื้อตาที่สามารถแก้ปัญหาหนังตาตกและทำให้ดวงตาดูโตสวยและสดใสยิ้งขึ้น
วิธีการผ่าตัด

01. ก่อนผ่าตัด

02. ออกแบบก่อนผ่าตัด

03. กรีดตามรอยพับของชั้นตา

04. ตัดผิวหนังเปลือกตา กล้ามเนื้อและ ไขมันส่วนเกิน

05. มัดเยื่อหุ้มให้แน่นหลังตัดกล้ามเนื้อที่หย่อนคล้อยออก

06. เย็บชั้นตา

06. หลังผ่าตัด

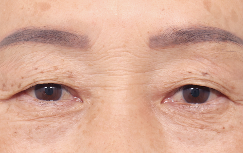
ก่อน

หลัง 1 สัปดาห์

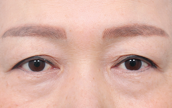
ก่อน

หลัง 1 เดือน
ศัลยกรรมหนังตาบนต้องระวังไม่ให้ดวงตาดูเข้มหรือดุจนเกินไป
สำหรับผู้ที่อยู่ในอายุวัยกลางคน หากผ่าตัดหนังตาออกมากจนเกินไปอาจทำให้ดวงตาดูไม่เป็นธรรมชาติหรือดูดุได้ ดังนั้นทักษะและความชำนาญของศัลยแพทย์จึงเป็นสิ่งสำคัญที่สุด ที่โรงพยาบาลศัลยกรรม AB เราใช้เทคนิคการผ่าตัดหนังตาบนที่อิงตามหลักการของการสร้างชั้นตาธรรมชาติ ที่ปรับระดับขั้นตาและตัดเนื้อเยื่อออกในปริมาณที่เหมาะสม รวมถึงเทคนิคที่ไม่ทิ้งรอยแผลเป็น เพื่อให้ได้ผลลัพธ์ที่เป็นธรรมชาติและดวงตาที่สวยงามยิ่งขึ้น
1. หลักการศัลยกรรมหนังตาบนโดยใช้โครงสร้างของชั้นตาเพื่อให้ดูเป็นธรรมชาติ
หลักการโครงสร้างของชั้นตาบน
เมื่อเราลืมตา กล้ามเนื้อที่ยกเปลือกตาจะดึงผิวหนังขึ้น ทำให้เกิดรอยพับเป็นชั้นตา

เทคนิคการผ่าตัดหนังตาบนของ AB
สร้างชั้นตาโดยการมัดแผ่นเยื่อบางๆ เข้ากับชั้นผิวหนัง ให้ชั้นตาดูธรรมชาติ

2. ตัดเพื่อลดปริมาณผิวหนัง ไขมัน และกล้ามเนื้อให้เหลือน้อยที่สุด
การตัดผิวหนัง ไขมัน และกล้ามเนื้อมากเกินไปอาจทำให้รูปตาดูแข็งและไม่เป็นธรรมชาติ ที่โรงพยาบาลศัลยกรรม AB เราทำการตัดผิวหนัง ไขมัน และกล้ามเนื้อในปริมาณที่เหมาะสมกับสภาพตา เพื่อให้ได้รูปตาที่เรียบเนียนและเป็นธรรมชาติ

ตัดผิวหนัง ไขมัน และกล้ามเนื้อของเปลือกตาในปริมาณที่เหมาะสม

หลังการศัลยกรรมเปลือกตาบน จะได้รูปตาที่เรียบเนียนและสวยขึ้น
3. ลดรอยแผลเป็นให้เหลือน้อยที่สุด
ที่โรงพยาบาลศัลยกรรม AB เราจะปรับและแก้ไขรูปทรงตาให้เหมาะสม เพื่อให้รอยแผลเป็นไม่ลึกและไม่เห็นได้ชัด แม้กระทั่งตอนหลับตา ทำให้ได้ตาดูนุ่มนวลและละมุนขึ้น

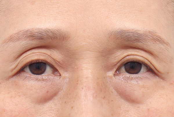
ก่อน

หลัง 1 เดือน

หลัง 1 เดือน

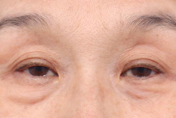
ก่อน

หลัง 1 เดือน

หลัง 1 เดือน
อย่างไรก็ตาม การศัลยกรรมหนังตาบนอาจไม่ใช่คำตอบเดียวสำหรับการแก้ปัญหาของดวงตาในวัยกลางคน
เคสที่ไม่เหมาะกับการศัลยกรรมหนังตาบน
คิ้วที่ตกมากเกินไปทำให้ ระยะห่างระหว่างตากับคิ้วดูใกล้เกินไป
ตาที่มีปัญหากล้ามเนื้อตางอ่อนแรง
กรณีที่ทำศัลยกรรมเปลือกตาบนอย่างเดียว
ระยะห่างระหว่างตากับคิ้วจะลดลง ทำให้ดูแปลกและอาจทำให้ดวงตาดูน่ากลัวมากขึ้น
เปลือกตาอาจไปปิดตาดำ ทำให้ดูง่วงนอนตลอดเวลา
ทางออกที่ครบวงจรสำหรับปัญหาดวงตาของคนในวัยกลางคน
การทำศัลยกรรมยกคิ้วและยกหน้าผากควบคู่ไปด้วยจะช่วยแก้ไขปัญหาตาที่ตกและให้ผลลัพธ์ที่ดียิ่งกว่า
ศัลยกรรมหนังตาบนและยกกระชับคิ้วควบคู่

ก่อน

หลัง 3 เดือน
ศัลยกรรมหนังตาบนและยกรรมยกกระชับหน้าผากควบคู่

ก่อน

หลัง 1 เดือน
จุดเด่น AB
Upper Blepharoplasty, Why AB
1. ถึงเวลาผ่านไปก็ยังคงรักษารูปทรงที่ธรรมชาติได้
การศัลยกรรมหนังตาบน ปรับความแข็งแรงของกล้ามเนื้อตาอย่างเหมาะสมและยึดให้แน่น พื่อให้ผลลัพธ์การของผ่าตัดทน ไม่เกิดแผลเป็นและไม่หลุดออก

ก่อน
กรณีที่ต้องศัลยกรรมหนังตาบน หนังบริเวณตารเปลือกตาตก

หลัง 1 เดือน
การยึดให้แน่นช่วยให้รูปทรงมีความเป็นธรรมชาติและทน แม้จะผ่านไปแค่ 1 เดือนก็ยังไม่หลุดออก

หลัง 6 เดือน
การปรับความแข็งแรงในการยึดกล้ามเนื้อช่วยให้รูปทรงคงที่และเป็นธรรมชาติ โดยไม่เกิดแผลเป็น แม้จะผ่านไปถึง 6 เดือน
2. แก้ปัญหาทางด้านความงามและการทำงานของตาควบคู่ด้วยการศัลยกรรมหนังตาบน
ที่โรงพยาบาลศัลยกรรม AB เราสามารถแก้ปัญหาความงามและปัญหาการทำงานของตาที่เกิดจากการหย่อนคล้อยของเปลือกตาได้พร้อมกัน

เปลี่ยนจากดวงตาที่เป็นรูปทรงสามเหลี่ยม เนื่องจากหัวตาและหางตาตก
ก่อน

มาเป็นทรงปกติและปรับผิวที่หย่อนคล้อยออก
หลัง 2 เดือน

ดวงตาที่ไม่สามารถลืมตาได้เต็มที่เนื่องจากกล้ามเนื้อตาอ่อนแรง
ก่อน

ปรับการมองเห็นและเพิ่มความแข็งแรงในการลืมตาเพื่อให้ดวงตาเห็นชัดขึ้น
หลัง 1 สัปดาห์
3. การวิจัยและการเผยแพร่ผลงานอย่างต่อเนื่อง
เพื่อเพิ่มความพึงพอใจและประสิทธิภาพในการผ่าตัด โรงพยายาลศัลยกรรม AB เรามุ่งมั่นในการวิจัยและนำเสนอเทคนิคการศัลยกรรมแบบใหม่ๆ ผ่านการเผยแพร่ผลงานวิจัยและการเข้าร่วมการประชุมทางวิชาการอย่างต่อเนื่อง ทำให้เรามีความเชี่ยวชาญในด้านการทำศัลยกรรมที่ล้ำหน้าและเป็นมืออาชีพ




4. ระบบวิเคราะห์รายละเอียดการศัลยกรรมตาช่วงกลางวัย
ที่ โรงพยายาลศัลยกรรม AB เราใช้ระบบวิเคราะห์รายละเอียดเพื่อประเมินสถานะของดวงตาของแต่ละบุคคลก่อนการผ่าตัด โดยไม่ทำการรักษาเกินความจำเป็น และวางแผนการผ่าตัดให้เหมาะสม
รูปทรงและขนาดโดยรวมของดวงตา
ความยาวของดวงตาทั้งแนวนอนและแนวตั้ง
การเปิดม่านตา
สภาพของโดยรวมของเปลือกตา
ระดับการหย่อนของผิวหนังเปลือกตาและกล้ามเนื้อ
ความหนาของผิว
การกระจายของไขมันในเปลือกตาและไขมันรอบดวงตา
ความแข็งแรงของกล้ามเนื้อที่ช่วยในการตาเปิด
ยกกระชับหน้าผาก
ด้วยการจัดตั้งระบบจัดการความปลอดภัยต่างๆ คนไข้จึงสามารถเข้ารับการผ่าตัดได้อย่างปลอดภัยยิ่งขึ้น

ผู้เชี่ยวชาญวิสัญญีแพทย์ติดตามผู้ป่วยแบบเรียลไทม์ระหว่างผ่าตัด และตรวจสองสามครั้งผ่านระบบมอนิเตอร์กลาง

กระบวนการทั้งหมดของการผ่าตัด รวมถึงก่อน ระหว่าง และหลัง ได้รับการดูแลแบบเรียลไทม์โดยวิสัญญีแพทย์ประจำ

เพื่อการผ่าตัดที่ปลอดภัยยิ่งขึ้น เรามีระบบตรวจสุขภาพภายในโรงพยาบาล และตรวจก่อนผ่าตัดอย่างครอบคลุม

ด้วยการจัดทำระบบความปลอดภัยต่างๆ เรารับรองว่าคนไข้สามารถรับการผ่าตัดได้อย่างปลอดภัยและสบายใจ
ปิดวันอาทิตย์และวันนักขัตฤกษ์