การวินิจฉัยวิธีการผ่าตัดด้วยการสแกน CT และเอกซเรย์เพื่อระบุตำแหน่งของเส้นประสาทและรูปร่างของกล้ามเนื้อ ออกแบบความกว้างและยาวของปลายคางในรูปแบบที่คนไข้ต้องการ
สุดท้ายแล้วทุกวิธีเป็นวิธีการผ่าตัดเพื่อโครงหน้าที่สวยงาม แพทย์จากมหาวิทยาลัยแห่งชาติโซลที่มีประสบการณ์เยอะในการผ่าตัดศัลยกรรมโครงหน้าจะวินิจฉัยสัดส่วนใบหน้าในอุดมคติและทำการผ่าตัดที่ปรับให้เหมาะกับคนไข้แต่ละรายโดยใช้ความชำนาญและความละเอียดอ่อนในการผ่าตัด

INFORMATION SURGERY
ระยะเวลาการผ่าตัด
1 ชั่วโมง 30 นาที
วิธีการวางยา
ยาสลบ
ติดตามอาการที่โรงพยาบาล
1 – 2 ครั่ง
ระยะเวลาการพักฟื้น
7 วัน
RECOMMEND SURGERY
1. ผู้่ที่มีคางสั้น
2. ผู้ที่คางไม่เท่ากัน
3. ผู้ที่มีคางใหญ่และเหลี่ยม
4. ผู้ที่มีคางยาวหรือคางที่ยื่นออกมา
ศัลยกรรมคาง
วิธีการผ่าตัดศัลยกรรมคางจะแตกต่างกันไปขึ้นอยู่กับรูปทรงของคาง
1. คางเหลี่ยม
การตัดกระดูกคางส่วนกลางในรูปแบบตัว T ทำให้ความกว้างของคางลดลงและมองเห็นได้ชัดจากด้านหน้า

ก่อน

หลัง 3 เดือน

ก่อน

หลัง 3 เดือน

ขั้นตอน 1. ออกแบบให้เค้ากับรูปหน้า
ออกแบวิธีการผ่าตัดคาง ให้เหมาะกับใบหน้าและความต้องการ

ขั้นตอน 2. ตัดและเคลื่อนย้ายกระดูก
ตัดกระดูกคางให้สามารถเคลื่อนย้ายและจัดเรียงได้ใหม่

ขั้นตอน 3. ปรับและจัดเรียงกระดูก
คางที่ยาวจะสั้นลง หลังจากปรับและยึดกระดูกคาง

ขั้นตอน 4. จัดระเบียบกระกระดูที่เหลื่อ
ตัดกระดูกส่วนเหลือออก ให้เรียบเนียนและไม่ขรุขระ
2. คางยาว
การตัดกระดูกตรงกลางออกด้วยการตัดกระดูกแนวนอน จะทำให้ความยาวของคางลดลง และกรามที่เหลี่ยมจะเรียวขึ้น ส่งผลให้คางมีขนาดเล็กลง

ก่อน

หลัง 4 เดือน

ก่อน

หลัง 4 เดือน

ขั้นตอน 1. ตัดกระดูก
ตัดกระดูกแนวนอนเพื่อลดความยาวของคาง

ขั้นตอน 2. ขยับกระดูก
กระดูกส่วนล่างที่ถูกตัดจะขยับขึ้นมาแทน

ขั้นตอน 3. ยึดและปรับกระดูกส่วนอื่น
หลังยึดกระดูกคาง กระดูกส่วนเหลือจะโดนตัดออก ทำให้กรอบหน้าดูเรียบเนียน
3. คางสั้น
โดยจะลดขนาดคางที่บานให้เล็กลง และขยับกระดูกลงมาเพื่อเพิ่มความเรียวยาว แก้ปัญหาคางสั้น ให้ใบหน้าเรียวเรียวมีมิติมากขึ้น

ก่อน

หลัง 1 เดือน

ก่อน

หลัง 4 เดือน

ขั้นตอน 1. ออกแบบให้เค้ากับรูปหน้า
ออกแบวิธีการผ่าตัดคาง ให้เหมาะกับใบหน้าและความต้องการ

ขั้นตอน 2. ตัดและเคลื่อนย้ายกระดูก
กระดูกที่ตัดจะไม่ถูกนำออก แต่จะเป็นการจัดเรียงทรงใต้คางใหม่เพื่อเพิ่มความยาวของคาง

ขั้นตอน 2. ขยับกระดูก
กระดูกจะขยับมาอยู่ส่วนขากรรไกรและยึดด้วยหมุด

ขั้นตอน 4. จัดระเบียบกระกระดูที่เหลื่อ
ตัดกระดูกส่วนเหลือออก ให้เรียบเนียนและไม่ขรุขระ *ในระหว่างการพักฟื้น กระดูกจะเติมเต็มบริเวณช่องว่าง
4. คางถอย
การตัดปลายคางแบบแนวนอนแล้วเคลื่อนไปข้างหน้า นั้นจะสาทารถเห็นผลอย่างชัดเจนจากด้านข้างแต่ด้านหน้าด้วย

ก่อน

หลัง 7 เดือน

ก่อน

หลัง 7 เดือน

ขั้นตอน 1. ตัดกระดูก
ตัดกระดูกเป็นแนวนอน

ขั้นตอน 2. เคลื่อนกระดูก
กระดูกส่วนที่ถูกตัดจะเคลื่อนออกมาข้างหน้าและยึดไว้
ทางออกจาก AB
หากต้องการรูปหน้าเรียวจากด้านหน้า แนะนำให้ทำศัลยกรรมคางและกรามด้วยกัน รูปคางที่สวยนั้นจะถูกสร้างขึ้นโดยใช้วิธีการตัดกระดูกโดยหลายวิธี ขึ้นอยู่กับรูปร่างและความชอบของแต่ละบุคคล

ลดขนาดคางอย่างเดียว
กรอบหน้าไม่เรียบเนียนและขรุขระ

ลดขนาดคางกับกราม
โครงหน้าเรียบเนียนและเรียว

ลดขนาดกรามอย่างเดียว
กรอบหน้าไม่มีมิติและด้านหน้าไม่เปลี่ยน

ลดขนาดกรามกับคาง
ใบหน้าดูเรียวทั้งด้านหน้าและด้านข้า
ถ้าผ่าตัดคางและกรามพร้อมกัน กรอบหน้าจะเรียบเนียน เรียว มีมิติ ไม่ขรุขระ
จุดเด่น AB
เหตุผลที่ต้องศัลยกรรมคางกับ AB
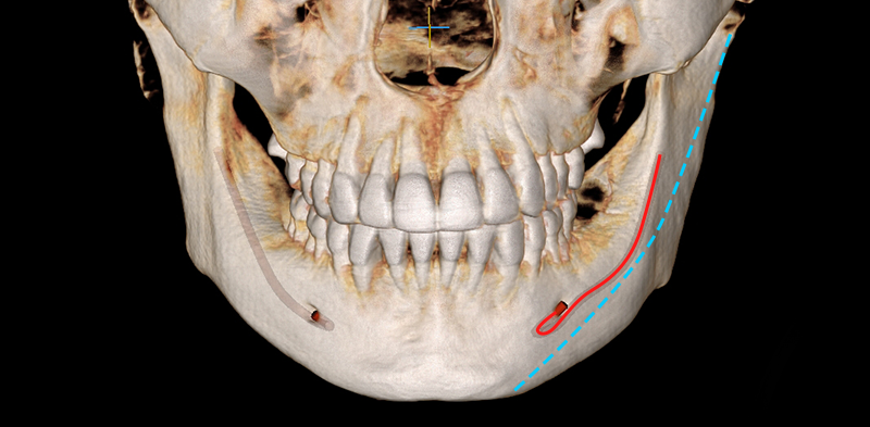
1. ออกแบบและประเมินไม่ให้โดนเส้นประสาท
ออกแบบและประเมินอย่างละเอียดหลังจากระบุตำแหน่งเส้นประสาทผ่าน 3D-CT แล้ว จะมีการวางแผนวัดระยะการตัดกระดูกและทำการผ่าตัดเพื่อหลีกเลี่ยงไม่ให้โดนเส้นประสาท

2. กรามนูนหลังการผ่าตัด
การผ่าตัดลดขนาดกรามและคางจะทำพร้อมๆกันเพื่อเชื่อมกรามให้เนียนและป้องกันการนูน

3. ออกแบบรูปทรงโดยคำนึงถึงทั้งใบหน้า
เป็นการผ่าตัดให้เหมาะกับรูปหน้าของแต่ละบุคคล โดยการปรับ ความยาว ตำแหน่ง และรูปทรง ให้มีความสมดุลของใบหน้า
หน้าตรง

ก่อน
หลัง 8 เดือน
45 องศา

ก่อน
หลัง 8 เดือน
ด้านข้าง

ก่อน
หลัง 8 เดือน
4. ทางออกของการลดกรอบหน้าใหญ่ที่เห็นได้ชัดจากด้านหน้า
ใบหน้าเรียวเรียวเป็นธรรมชาติจากด้านข้างและด้านหน้า ด้วยการผ่าตัดคางและกรามด้วยกัน

ก่อน

หลัง 6 เดือน

ก่อน

หลัง 5 เดือน
5. เทคนิคเฉพาะของศัลยแพทย์ AB เท่านั้น
เพราะเราใส้ใจใน ความปลอดภัย ความสวย และผลลัพธ์ที่ดีที่สุด

บริการหลังการศัลยกรรมกราม
จะไม่ยอมพลาดช่วงที่ดีสุดในการพักฟื้น
เลเซอร์ Smartlux

ช่วย อากรบวม ช้ำ
เป็นนวัตกรรมการฉายแสง เพื่อลดอาการบวม และช้ำบริเวณรอยแผลหลังการผ่าตัด
LDM

ช่วย ฟื้นฟูผิว และสร้างภูมิคุ้มกัน
เป็นนวัตกรรมคลื่นอัลตร้าซาวด์ ที่ช่วยกระตุ้นการเสริมสร้างและซ่อมแซมผิวหนัง
คลื่นวิทยุ RF

ช่วย การหมุนเวียน และ การพักฟื้น
การส่งพลังงานคลื่นวิทยุความถี่สู เพื่อเพิ่มการไหวเวียนของเลือดในบริเวณผ่าตัด
ชุดเครื่องมือโฮมแคร์

สาทารถกลับไปทำที่บ้าน
ทางโรงพยาบาลศัลยกรรม AB มีชุดเครื่องมือโฮมแคร์ที่สามารถนำไปทำที่บ้าน เพื่อให้การพักฟื้นหลังการผ่าตัดหายเรียวขึ้น
Loading...
ด้วยการจัดตั้งระบบจัดการความปลอดภัยต่างๆ คนไข้จึงสามารถเข้ารับการผ่าตัดได้อย่างปลอดภัยยิ่งขึ้น

ผู้เชี่ยวชาญวิสัญญีแพทย์ติดตามผู้ป่วยแบบเรียลไทม์ระหว่างผ่าตัด และตรวจสองสามครั้งผ่านระบบมอนิเตอร์กลาง

กระบวนการทั้งหมดของการผ่าตัด รวมถึงก่อน ระหว่าง และหลัง ได้รับการดูแลแบบเรียลไทม์โดยวิสัญญีแพทย์ประจำ

เพื่อการผ่าตัดที่ปลอดภัยยิ่งขึ้น เรามีระบบตรวจสุขภาพภายในโรงพยาบาล และตรวจก่อนผ่าตัดอย่างครอบคลุม

ด้วยการจัดทำระบบความปลอดภัยต่างๆ เรารับรองว่าคนไข้สามารถรับการผ่าตัดได้อย่างปลอดภัยและสบายใจ
ปิดวันอาทิตย์และวันนักขัตฤกษ์